足跟疼痛不是大病
痛起来可谓“步步钻心”
犹如踩在“刀刃”
上严重影响工作和生活
“肉中刺”

跨越1872公里的求医路
近日,荆门市人民医院关节外科副主任徐立收到了一位来自辽宁阜新一位名叫李天天(化名)的微信问诊信息——小小的“跟骨骨刺”困扰了他许久……

▲微信问诊截图
李大哥是一名焊工,需要长期下蹲工作,发现左足跟疼痛3年余,近两月加重,已经影响到正常生活和工作。准备在当地医院行手术治疗,却因为当地医生评估不能微创手术治疗,也无法彻底解决患者的疼痛问题。然而,患者到北京医院就诊后,医生给他的回复同之前一样。
一个小小的骨刺就这么难根治吗?
我以后就要一直饱受疼痛吗?
李大哥对此发出了“灵魂拷问”!
就在李大哥迷茫、纠结之际,偶然在网上看到了来自荆门市人民医院宣传视频——跟骨骨刺微创切除术。李大哥便立即联系发布视频的医生,几经辗转找到了该院关节外科的徐立副主任,起初通过电话问诊,但无法了解患者具体情况,徐立便提出微信好友申请,告知李大哥先在当地拍一张X片,以便了解具体位置、大小等。

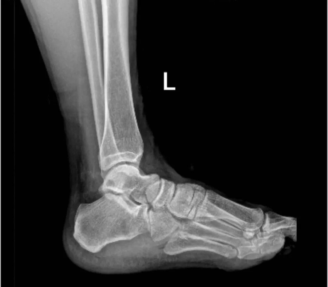
▲李大哥脚后跟的“骨刺”
两人很快就确定好治疗方式,徐立询问李大哥的医保情况后,告知可行异地报销,报销后费用只需几千元,术后有护工全程照顾,一周内即可出院。李大哥听后非常开心,直接买了一张北京直达荆门的火车票,长达20小时的旅途,李大哥的内心充满着期待与憧憬,困扰了三年之久的疼痛即将得到解决。

▲关节镜下刨削“骨刺”
2024年1月15日李大哥办理了入院手续,完善相关检查无手术禁忌症后,徐立便组织进行术前讨论,向李大哥说明手术注意事项。两天后,在副主任徐立、副主任医师金涛及周峰的配合下进行了“关节镜下跟骨骨刺切除术+足底筋膜松解术”,术中无出血,仅用25分钟就完成了骨刺切除,术后拍片骨刺消失。手术当天,李大哥未感觉疼痛,伤口无渗血,麻药消散后责任护士便立即指导进行足趾活动。
手术后第一天,李大哥便可自行扶拐杖下床上厕所、食堂吃饭等活动,行动虽有些缓慢但李大哥知道这是变好的开始。“现在不疼了吧!”徐立查房时笑着问,李大哥听了后满脸笑容的点了点头,从他的眼神中我们看到了感激和满意。

▲术后“跟骨骨刺”消失
什么是骨刺?
跟骨骨刺是骨质增生的俗称。
在所有因足部疾患而就诊的患者中,有15%为“跟痛症”,而其中73%由跟骨骨刺引起,跟骨骨刺是跟骨结节处向前延伸的骨赘,是其附着组织炎性刺激后的最终结果。
由于跟骨长期站立或行走,或老年人的退行性病变,容易导致跟骨附近出现慢性的劳损,从而导致跖腱膜和跖长韧带一直受到牵拉,长期处于紧张状态而导致。一般无症状,如有临床表现,只有在其附着组织炎症期才出现局部疼痛、压痛、负重痛、跛行等。


什么是关节镜技术?
关节镜技术主要用于治疗膝、肩、踝、肘、髋等多种病变,关节镜手术一般做1-2个5mm的小孔,放入比筷子头细的镜子,通过它检查关节,然后再放入同样粗细的手术器械,解除病变。对比传统手术,切口小,美观,术后痛苦小,可早期进行康复训练。
目前,荆门市人民医院关节外科每年开展关节镜手术约500多台。

▲关节外科医护团队
科室简介
关节外科与运动医学科作为荆门市人民医院关节疾病与运动创伤诊疗中心,主要以诊治各类关节及运动创伤疾病为特色,下设髋关节、膝关节、肩关节及运动创伤四个专业组。
电话:0724-6903024
关节外科诊疗中心:
一、各种关节疾病的诊断与外科治疗:
1.各种创伤所致的关节脱位、关节内及关节周围骨折的外科治疗,包括股骨颈骨折、股骨粗隆间骨折、胫骨平台骨折、股骨髁骨折、肩关节周围骨折、肘关节周围骨折等;
2.关节周围骨化性肌炎;
3.关节周围化脓性感染、特异性感染(关节结核)等;
4.类风湿性关节炎、强直性脊柱炎的髋膝关节病变的外科治疗,包括严重的关节强直畸形的矫形、关节置换等;
二、股骨头缺血性坏死的外科治疗,包括钻孔局部减压、人工股骨头置换术、人工全髋置换术等;
三、骨关节炎的外科治疗,包括关节清理术、人工关节置换术等;
四、髋、膝、肩、肘、踝等关节的人工关节置换及关节置换术后各种原因导致的翻修手术;
五、各种骨关节先天性畸形和创伤性畸形的外科治疗,包括成人髋关节发育不良的偏心性旋转截骨术,全髋关节置换术等。

运动医学与关节镜诊疗中心:
一、膝关节:膝关节前、后交叉韧带损伤、内、外侧副韧带的手术重建;膝关节脱位并多发韧带损伤的治疗;髌骨复发性脱位的稳定手术;半月板损伤的缝合与修补;关节软骨损伤的移植与修补;胫骨平台骨折的微创治疗;各类型关节炎症的清理(包括退行性骨关节炎,类风湿性、结核性、痛风性关节炎,色素沉着绒毛结节性关节炎等);关节内游离体取出等。
二、肩关节:各类肩袖撕裂的修补;肩关节不稳(包括复发性肩关节脱位)的微创手术;肩周炎松解手术;肩关节疼痛的关节镜诊断;肩峰减压与成型;关节盂唇的修补;肱二头肌腱固定与 SLAP 修补;冈上肌钙化性肌腱炎的治疗;肩锁关节脱位的关节镜治疗;关节镜下锁骨远端切除等。
三、肘关节:肘关节不稳的治疗;肘关节僵硬的松解手术;肘关节游离体取出;各类型关节炎症的清理(包括退行性骨关节炎,类风湿性、结核性、痛风性关节炎,色素沉着绒毛结节性关节炎等);关节软骨损伤的清理等。
四、髋关节:髋关节撞击综合征的治疗;各类型关节炎症及关节游离体的清理,关节盂唇损伤的微创治疗等。
五、腕关节:各类型关节炎症的清理;三角纤维软骨盘损伤的微创治疗,腕关节疼痛的关节镜诊断;舟、月骨分离的治疗;腕骨骨折的微创治疗等。
六、踝关节:踝关节不稳韧带修复;撞击综合征的微创治疗;各类型关节炎症(骨性关节炎、类风湿性关节炎等)及关节游离体的清理,踝关节骨折的微创治疗。
梁军,主任医师
荆门市人民医院关节外科主任
全国第十九届颈肩腰腿痛研究会常务理事、湖北省医学会运动医疗分会委员会委员、湖北省生物医学工程学会人工关节专业委员会委员、荆门市骨科学会常委、荆门市医学会创伤分会委员。擅长骨关节、运动损伤的诊断和治疗,尤其在关节置换及骨关节运动损伤的微创(关节镜)治疗方面积累了丰富的临床经验。
电话:13886929399

徐立,医学硕士
主任医师,关节外科副主任
长期致力于骨科临床、科研及教学工作,在四肢骨折手术治疗,膝、肩、髋、肘关节镜手术治疗以及髋膝关节置换术上积累了丰富的临床经验。
电话:13657157608

来源:荆门市人民医院
编辑:孙弋雯
二审:黄韶光
三审:彭良银
