很多人
一听到“脑出血”就吓得腿软,
脑海中浮现出“开颅手术”的画面
——头骨被锯开、伤口触目惊心!
脑出血是指脑内血管非外伤性破裂所导致的出血状况,它占据了脑卒中病例的大约20%至30%。在急性期,脑出血的死亡率可高达30%至40%,并且众多患者往往会遭遇长期的健康困扰,其恢复过程通常十分缓慢。

脑出血的发病往往十分紧急进展迅速、总体预后较差较高的致死/致残率让人措手不及脑出血是一类什么疾病?什么人群容易得脑出血?如何识别脑出血的征兆?脑出血该如何科学、规范救治?……

4月10日(周四)18:00
荆门市人民医院
神经外科主任 博士后 傅楚华
走进荆门广播电视台《名医直播间》
直 播 主 题
Live Streaming Theme
《新技术赋能:脑出血治疗迎来新曙光》
微创、精准,神经内镜让“脑洞”不再大开

“传统的开颅血肿清除手术创伤大,而单纯穿刺引流又效果有限,如何以最小的手术创伤代价,让患者得到手术疗效的最大化获益?”荆门市人民医院神经外科主任 、博士后傅楚华介绍,随着近年来微创技术的不断发展,神经内镜微创技术已经成为能基本覆盖神经外科各类疾病治疗的“新利器”。
脑出血后会留下后遗症吗?
一般脑出血术后住院时间是多少?
精准微创手术治疗脑出血的优势有哪些?
别急,这场直播或许有您想要的答案
参与方式(一)
点击下方绿色按钮(蓝色文字)一键跳转进入“名医直播间”
4月10日18:00(周四)荆门市人民医院神经外科博士后与您面对面
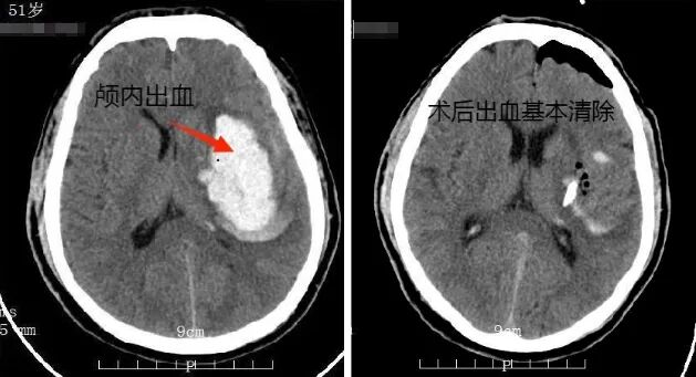
案例分享:4cm切口创造生命奇迹
51岁的张先生突发脑出血并逐渐昏迷,CT显示脑内血肿达50ml,命悬一线!经神经外科团队评估后最终选择“神经内镜微创手术”,仅切开4cm小口,用“神经内镜”精准清除血肿,术后第二天张先生就逐渐清醒!

荆门市人民医院神经外科通过神经内镜,利用骨孔或直径2~3cm的骨窗治疗颅内病变,具有创伤小、视野清晰、范围广、手术疗效佳、并发症少等特点。近年来,其在颅脑出血性疾病中的应用优势愈发明显,脑出血可以进行微创手术清除血肿,再也不用让患者“脑洞大开”了。
参与方式(二)

长按识别/关注我们
依次点击底部菜单
“医院信息”-“直播间”
进入即可


直播期间,可以边看边提问
同时,您也可以到荆门市人民医院
神经外科门诊线下就诊、咨询哦~
4月10日18:00(周四)
《名医直播间》,不见不散
科室简介:荆门市人民医院神经外科
荆门市人民医院神经外科是湖北省临床重点专科、荆门市神经外科学会主任委员单位、荆门市神经外科质量控制主任委员单位。分设6个临床亚专业疾病组:脑血管病、颅脑肿瘤、颅脑创伤、功能神经外科(含昏迷促醒)、神经脊柱脊髓和神经重症(NICU)。开设了总院神经外科一病区、东院神经外科二病区、神经重症病区、高压氧治疗室、神经康复治疗室。



科室以显微、内镜、介入、机器人为技术发展特色,相继开展了多模态指导显微镜下胶质瘤显微切除术、脑膜瘤切除术、电生理监测下听神经瘤切除术、颅咽管瘤切除术,以及动脉瘤显微夹闭术、微血管减压术、颈动脉内膜剥脱术、椎管肿瘤切除术;神经内镜下单鼻孔入路假包膜外垂体瘤切除术,多模态影像融合指导脑出血微创术,三脑室底造瘘术;以及脑血管造影、动脉瘤介入栓塞、颈内动脉海绵窦瘘(CCF)栓塞、脑动脉畸形(AVM)栓塞、颈动脉狭窄(CEA)等治疗。还有机器人辅助DBS治疗帕金森病、脊髓电刺激昏迷促醒术、顽固性头痛的手术治疗。
病区电话:0724-6903025
声明:本文为广告推文
来源:荆门市人民医院
编辑:郑耘
审核:全之力

